近日,苏州大学附属第四医院心内科王林林主任医师成功为一名CRTD(心脏再同步化治疗除颤器)植入术后反复室速发作、ICD(植入式心脏复律除颤器)多次放电的患者实施内外膜联合消融手术。
患者为79岁老年男性,9年前因反复气促在外院检查诊断为扩张型心肌病(DCM),6年前因室速晕厥于外院行CRTD起搏器植入,在规范药物治疗改善心肌重构、胺碘酮抗心律失常的情况下,仍多次室速发作、ICD反复放电。
1个月前,患者因CRTD电池提前耗竭于我院行更换术,术后短期内先后发生6次ICD放电。此次因肺部感染诱发急性心衰、室速电风暴入院,经病因纠正后仍反复出现室速,需持续静脉输注抗心律失常药物。多次ICD放电不仅让患者承受巨大痛苦,也使家属焦虑万分,且反复室速发作进一步加速了患者心肾功能的恶化。
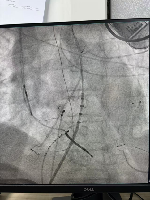
术中自发多种形态室速
一般来说,扩张型心肌病患者的心肌病变常位于中外膜,往往需要内外膜联合消融,但此例患者伴有慢性肾衰,凝血功能差,因此,干性心包穿刺风险较大。为解除患者的痛苦,陈弹主任医师和王林林主任医师带领电生理团队决定为患者施行室速射频消融术。
干穿心包进入外膜标测
心外膜基质
部分内膜室速靶点电位
王林林主任医师谨慎操作,成功进入心外膜达到病变位置。术中,患者反复自发多形态室速,且转为室扑,同时出现血流动力学不稳定,需多次电除颤方能终止发作,标测难度极大。这就要求医疗团队必须在有限的标测时间内精准定位室速消融靶点,并结合心内外膜基质特征制定消融策略。经针对性消融后,患者未再自发室速,且室性早搏转为单一形态,经判定为右心室乳头肌来源,随即予以一并消融。术后经心室程序电刺激验证,室速未再被诱发。

右心室后组乳头肌室早电位
术后,患者恢复良好,接受持续心电监测7天,整个住院期间未再发生室速,心悸症状也得以缓解。对于ICD术后反复室速放电的患者而言,射频消融术是减少室速发作、减轻痛苦的一项有效手段。
作为江苏省临床重点专科,苏州大学附属第四医院心内科在学科带头人周亚峰教授的带领下,不断突破心律失常介入难题,常规开展室速内外膜联合消融。团队已多次为器质性心脏病室速患者成功消融,术后随访患者均恢复良好,未再发生室速及ICD放电。